
右上は金属芯にオールセラミックを入れたとき。
下はグラスファイバーコアにオールセラミックを入れたときです。比較すると、光を透過しているのがわかります。
画像提供 Ci メディカル |
歯にかぶせる素材に金属を使用しないので、透明感があり、光を透過します。すべてセラミック陶材を使うと、割れやすくなるため、内側は人造ダイヤ、ジルコンで補強されています。グラスファイバーコアを併用して製作されます。(金属の芯の入った歯にかぶせるとすけて金属色が見えてしまうため内部の芯も透明な素材を使用します。)金属アレルギーのある方には有効です。

上は試しに真っ二つに割ってみたところです。画像クリックすると大きい写真になります。なかの構造が分かります。 |
11万0000円
(税込み)
1本あたり
オプション
専属技工士さん立会いの場合
+10000円

審美専門
歯科技工士
堀尾浩彦氏
東海地区で
NO・1の
腕前で歯科業界では
有名な方です。 |
|
|


金属の芯との比較(下図)
芯が透明白色

|
通常、保険治療では、神経を取った歯に補強のために金属の芯を入れますが、オールセラミックの歯をそのままかぶせると、下の金属芯の色がすけて見えてしまうため、芯の素材に透明なものを使用します。「釣りざお」や「ゴルフクラブのシャフト」などに使用されるものでしなりがあり、歯の根にかかる負担が軽くなるようです。
金属の芯で根が破折した例

こうなると割れ目から雑菌が歯肉に侵入して常時、歯ぐきが腫れ痛みが出るので抜かざるを得なくなります。 |
2万2000円
(税込み)
1本あたり

保険の金属の芯がテコのちからとして歯根を折ってしまうことがあります。
画像提供
Ci メディカル
|
|

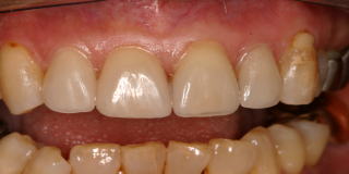
治療前

治療後

|
歯の表面を0.5~1.0ミリほど薄く削り、その表面にセラミックの薄い膜を貼り付けます。

治療中・・・歯の表面を少し削った
ところ(下図)

|
8万8000円
(税込み)
1本あたり
オプション
専属技工士さん立会いの場合
+10000円
|
|

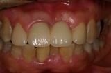
治療前

治療後


陶材(セラミック)の内側には18金合金が貼ってあります |
「メタルボンド」とは「金属」の上にセラミック陶材を「焼きつけて」作られたための業界一般名称です。
詳しくいうと「陶材熔着鋳造冠」と言いますが、面倒なので、「メタルボンド」と呼んでいます。
普通セラミックで治してもらう場合ほとんどがこのケースでしょう。
セラミックのみでかぶせると茶碗が欠けるように割れることがあるので、金属の裏打ちをして強度を増しています。(オールセラミックの場合は人造ダイヤですが)
使用する金属は、金合金です。
(昔はニッケルコバルトなどの合金が使われていた時期もありましたが、アレルギーの可能性もあるので、今は使用されていません)
金属に陶材を焼き付ける時に1000度近くの温度になるため、それに耐えられるだけの金属を選択すると金合金になります。(保険の金属の溶ける温度は960度)
透明感はオールセラミックの歯より劣りますが、保険の歯よりはずっときれいな仕上がりです。 |
11万0000円
(税込み)
1本あたり
オプション
専属技工士さん立会いの場合
+10000円 |
|

 |
保険治療では力のかかる場所には銀合金を使います。プラスチックでは、割れてしまい、奥歯に銀歯を選択せざるを得ない場合が多いのですが、セラミックなら割れたり、磨り減ったり、変色しないため白く透明感のある歯にできます。

保険治療銀歯 |

セラミックインレー |
|
44000円
(税込み)
1本あたり |
|