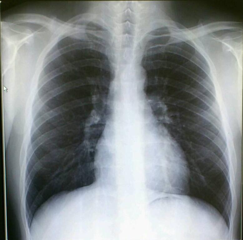
レントゲン検査

胸部レントゲン検査では、肺炎・肺がん・結核・COPDなどの診断ができます。
腹部レントゲン検査では、腸閉塞・結石など腹部の疾患・病変を発見することができます。